Ta innowacyjna koncepcja leczenia została opracowana przez dr n. med. Marka Markiewicza. Jej założenia są zastrzeżone w zgłoszeniu patentowym, opracowanym przez komórkę badawczo-rozwojową Markiewicz Clinic.
Poznaj koncepcjęto zyskasz jeżeli zdecydujesz się na leczenie wg moje autorskiej, atraumatycznej metody One Step Concept R
Jeżeli masz problemy z zębami, odczuwasz dyskomfort z powodu ich braków, jednocześnie boisz podać się zabiegom w obawie przed zbyt dużym urazem, zależy Ci na bezpieczeństwie i przewidywalnym efekcie, to gwarantuje Ci, że potrzebujesz naukowych, sprawdzonych protokołów działania.
Zajmuję się zawodowo implantologią oraz przywracaniem pięknych uśmiechów już blisko 20 lat. Wraz z zespołem wybitnych specjalistów, przeprowadzam leczenie w minimalnym okresie czasu, wykorzystując autorski protokół leczenia One Step Concept R
Zachęcam Cię do tego skorzystania z tej metody.
Zapraszam serdecznie.
dr n. med. Marek Markiewicz
ekspert ds. implantologii
DIPLOMATE ICOI/DGOI/PSI
Są to eksperci, lekarze, naukowcy i technicy dentystyczni , którzy skupieni są na trzech głównych obszarach swojej działalności:
Tylko jedna optymalna koncepcja leczenia
Tylko w jednym kroku wszyscy specjaliści, różnych dziedzin medycyny, zaplanują Twoje leczenie kompleksowe
Tylko jeden krok do Twojego wymarzonego uśmiechu
Tylko jeden krok aby przywrócić Twój komfort życia
Tylko jeden krok aby przeprowadzić Twoje leczenie implantologiczne
Tylko jeden krok aby powstał Twój kompletny projekt uśmiechu, uwzględniający analizę estetyki i funkcji
W metodzie One Step Concept R kluczowe znaczenie ma planowanie leczenia kompleksowego.
Pierwszym etapem jest zebranie kompletnych informacji medycznych od pacjenta. Uwzględnia to:
![]()
Zebrane informacje są przetworzone na cyfrowe dane, których analiza odbywa się poza obecnością pacjenta.
Efektem tego jest kompletny projekt cyfrowy łączący wszystkie etapy holistycznego leczenia estetyczno-funkcjonalnego.
Umów wizytę
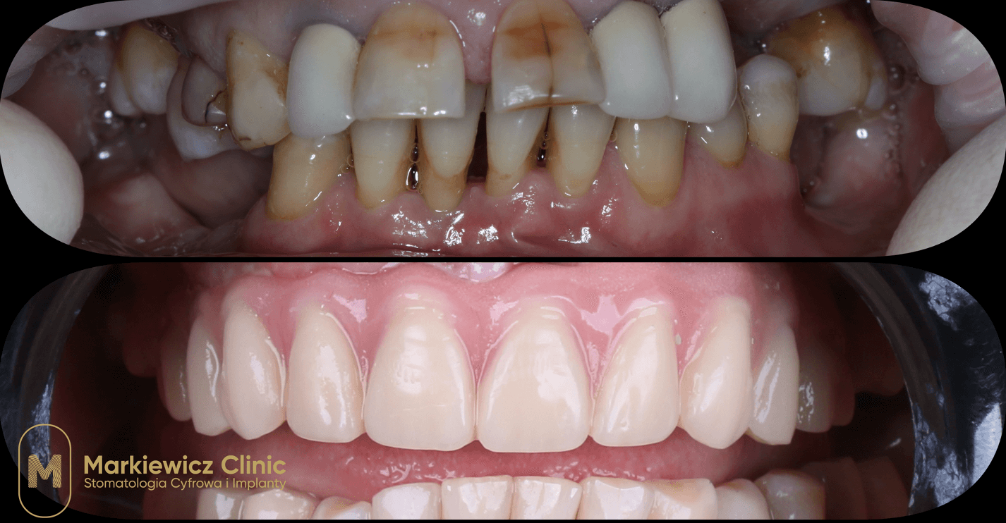
Od teraz w Markiewicz Clinic jesteśmy w stanie rozwiązać wszystkie Twoje problemy, dotyczące zarówno aspektów estetycznych, jak i braków zębowych, w bardzo krótkim okresie czasu. W wielu przypadkach przeprowadzenie całej procedury to jeden dzień, co pozwala na kompletne przeprowadzenie danego etapu leczenia.
Metoda Markiewicz One Step Concept R jest syntezą zamiłowania do nowoczesnych technologii, a także wyuczonych precyzyjnych, bezpiecznych i nieinwazyjnych technik chirurgicznych.
Ta rewolucyjna metoda cieszy się wielkim powodzeniem wśród naszych pacjentów ze względu na brak bólu i opuchlizny po zabiegu, a co najważniejsze pacjent opuszcza Klinikę z nowym uśmiechem tego samego dnia.

W skrócie, One Step Concept R to nawigowany twarzą oraz badaniem wolumetrycznym kości, jednoetapowy protokół leczenia bezzębia lub braków zębowych.
W oparciu o unikalny cyfrowy projekt przyszłego kształtu zębów, który jest dopasowany do twarzy i dynamiki uśmiechu oraz badanie 3D kości, w środowisku cyfrowym zaprojektowany zostaje innowacyjny szablon implantologiczny do nawigacji (komputerowej. Zostaje on wydrukowany wraz z nowo zaprojektowanym kształtem zębów w Cyfrowym Laboratorium Protetycznym MLab.
Szablon implantologiczny stanowi swego rodzaju linijkę, która umożliwia wprowadzenie implantów dentystycznych dokładnie w planowane miejsce bez użycia skalpela i konieczności szycia.
Masz zdrowe zęby, ale nie jesteś zadowolony do końca ze swojego uśmiechu?
W Markiewicz Clinic jesteśmy w stanie rozwiązać wszystkie Twoje problemy, dotyczące zarówno aspektów estetycznych, jak i braków zębowych, w bardzo krótkim okresie czasu. W wielu przypadkach przeprowadzenie całej procedury to jeden dzień, co pozwala na kompletne przeprowadzenie danego etapu leczenia.
W jaki sposób jesteśmy w stanie wykonać nowy uśmiech w jeden dzień wg metody One Step Concept R:

Posiadamy zespół współpracujących ze sobą specjalistów odpowiedzialnych za dany etap leczenia
Posiadamy wyjątkowo innowacyjny sprzęt przyspieszający naszą pracę
Posiadamy odpowiednią wiedzę , doświadczenie i protokoły postępowania w stomatologii cyfrowej
Posiadamy na miejscu własne Laboratorium protetyczne oraz techników dentystycznych, wytwarzających piękne licówki, korony oraz implanty zębów
Posiadamy sprawdzone protokoły postępowania w przypadku bezzębia i wszczepienia implantów
Wiemy jak ważnym aspektem w życiu naszych pacjentów ma wygląd i piękny uśmiech.
Ma on duży wpływ ma na ich życie, zarówno zawodowe jak i prywatne.
Dlatego pierwszym etapem Markiewicz One Step Concept R jest wykonanie cyfrowego projektu uśmiechu.
Projektując, bierzemy pod uwagę kształt twarzy i dynamikę mięśni. Wszystko po to aby stworzyć piękny uśmiech podkreślający urodę każdego naszego pacjenta.

Projekt uśmiechu stanowi podstawę do precyzyjnego wykonania nieinwazyjnych, bezpreparacyjnych licówek ceramicznych oraz bondingu.
Zaletą tej metody jest fakt, że cały proces koncepcyjny i przygotowawczy jest przeprowadzony poza obecnością pacjenta.
W Markiewicz Clinic usługi stomatologiczne świadczone są w pełnym zakresie, stosując najnowocześniejsze metody diagnostyki oraz leczenia. Dążąc do zaspokojenia wszystkich potrzeb pacjentów, oferujemy leczenie interdyscyplinarne. Jako zespół złożony z wybitnych ekspertów w różnych dziedzinach stomatologii, oferujemy szerokie podejście do pracy z pacjentami, nie skupiając się wyłącznie na wybiórczym leczeniu jednego zęba.

Leczenie interdyscyplinarne dla każdego! Proponujemy szersze spojrzenie na rolę uzębienia w zdrowiu i wyglądzie pacjenta.